マイオブレース矯正★男児11歳→13歳|とみもと歯科医院
〒552-0023 大阪府大阪市港区港晴3-17-2
06-6572-1182
TOP
医院紹介
院長ご挨拶
スタッフ紹介
アクセス
医院概要
院内紹介
設備紹介
子供の治療
小児矯正
小児歯科
大人の治療
成人矯正
一般歯科
リラックス歯科治療
ホワイトニング・セラミック
親知らずの抜歯
入れ歯
歯周病治療
予防歯科
よくある質問
診療の流れ
よくある質問
お知らせ
ブログ
採用情報
公式LINE
instagram
小児矯正サイト
お電話での
お問い合わせはこちら
06-6572-1182
ブログ
ブログ
TOP
ブログ
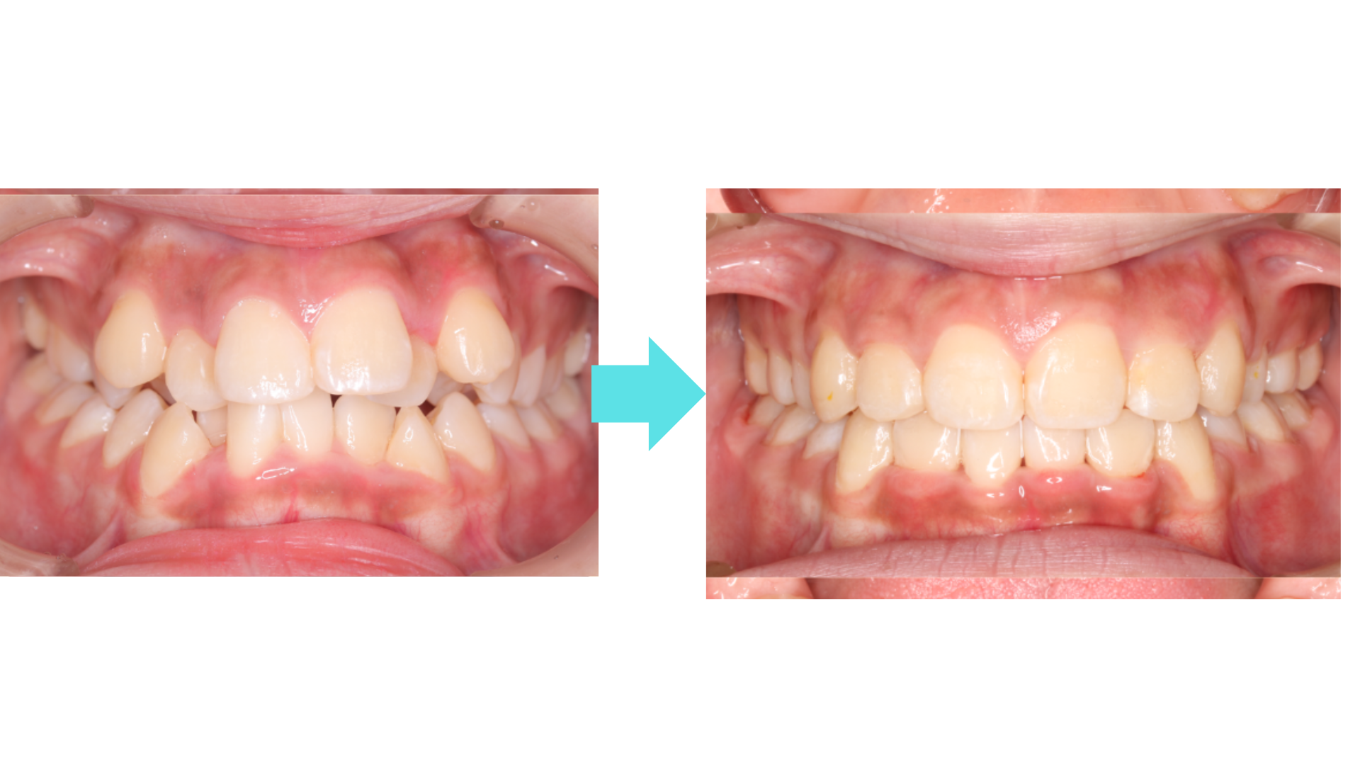
マイオブレース矯正★男児11歳→13歳
2025/03/03
マイオブレース矯正★男児11歳→13歳
症例のご紹介
カテゴリー
すべて
小児矯正
小児歯科
成人矯正
一般歯科
リラックス歯科治療
ホワイトニング
セラミック
親知らず
入れ歯
歯周病治療
予防歯科
症例のご紹介
歯科治療の豆知識
スタッフの日常
その他
アーカイブ
2026-02
2025-11
2025-08
2025-06
2025-05
2025-04
2025-03
instagram
関連記事
関連記事
小児矯正
2025/11/08
マイオブレース矯正⭐︎男児11歳→14歳
症例のご紹介
2024/06/17
成人矯正症例紹介
症例のご紹介
2024/05/17
矯正症例紹介
一覧に戻る